Dr Alan is the practice owner of Luton Advanced Dental Care and is dedicated to providing you with a smile you will love!
With over 10 years experience honing his skills in smile design and cosmetic dentistry, you can be confident that you are seeing one of the leading dentists in cosmetic dentistry in the UK.
Alan’s devotion to his patients, together with his easy-going and friendly manner, will ensure you feel comfortable and confident in his hands.
Alan provides a full range of cosmetic dentistry, including:
-Aligners and Invisalign
-Composite bonding
-Veneers
-Smile makeovers
Alan is strongly committed to postgraduate education, a necessity to keep up to date with the latest advancements and to be able to offer the highest level of patient care.
In addition to a number of cosmetic and aligner courses, he has completed a postgraduate Masters degree in Restorative Dentistry from the University of Birmingham, as well as a Certificate in Cosmetic & Aesthetic Restorative Dentistry.
He is currently studying on the Masters degree in Dental Implantology at Salford University.
Our cosmetic dentistry services are designed to enhance your smile and boost your confidence. We offer treatments like composite bonding to repair chips and gaps, veneers for a flawless finish, and teeth whitening to brighten your smile. Invisalign provides a discreet way to straighten teeth, while our bespoke smile makeovers combine multiple treatments for a complete transformation. Using advanced techniques and personalised care, we ensure natural-looking, long-lasting results tailored to your needs. Let us help you achieve your dream smile.
We offer Invisalign, a discreet way to straighten teeth with clear aligners. Combined with composite bonding, it’s ideal for a smile makeover. With personalised plans and advanced technology, we’ll help you achieve a confident smile.
We offer composite bonding to enhance the shape, size, and colour of teeth. This quick, non-invasive treatment is ideal for chipped, cracked, or discoloured teeth. With personalised care and advanced techniques, we’ll help you achieve a natural, confident smile.
We provide veneers to transform your smile by improving the appearance of chipped, stained, or uneven teeth. Custom-made for a natural look, veneers are a durable, long-lasting solution, offering a flawless finish and renewed confidence in your smile.
We offer bespoke smile makeovers, combining treatments like veneers, bonding, and whitening to transform your smile. Tailored to your needs, our expert team uses advanced techniques to enhance aesthetics and boost confidence, helping you achieve the perfect smile you deserve.
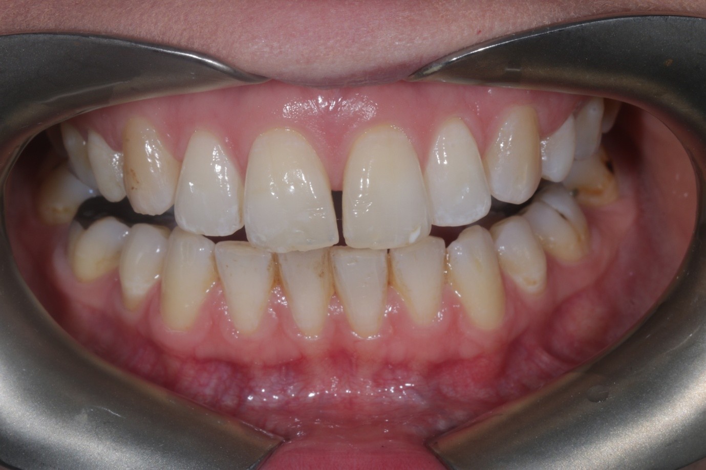
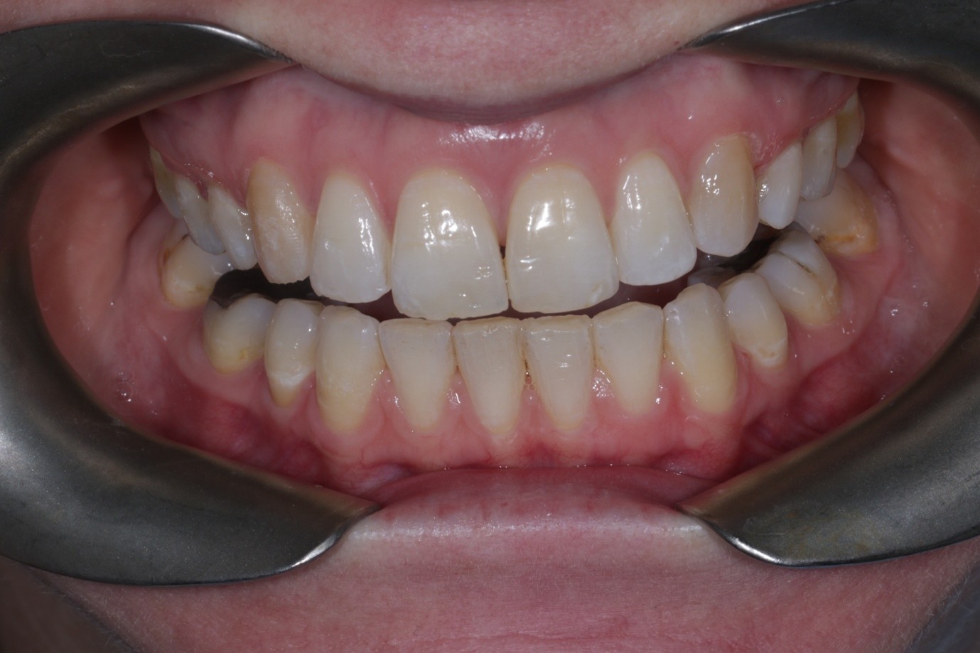
Millie
Millie came to us with the goal of closing the gap between her top front teeth, and reducing her overjet.
Treatment: Aligners were provided to close the gap, reduce the overjet and and straighten the top and bottom teeth.
Treatment time: 7 months




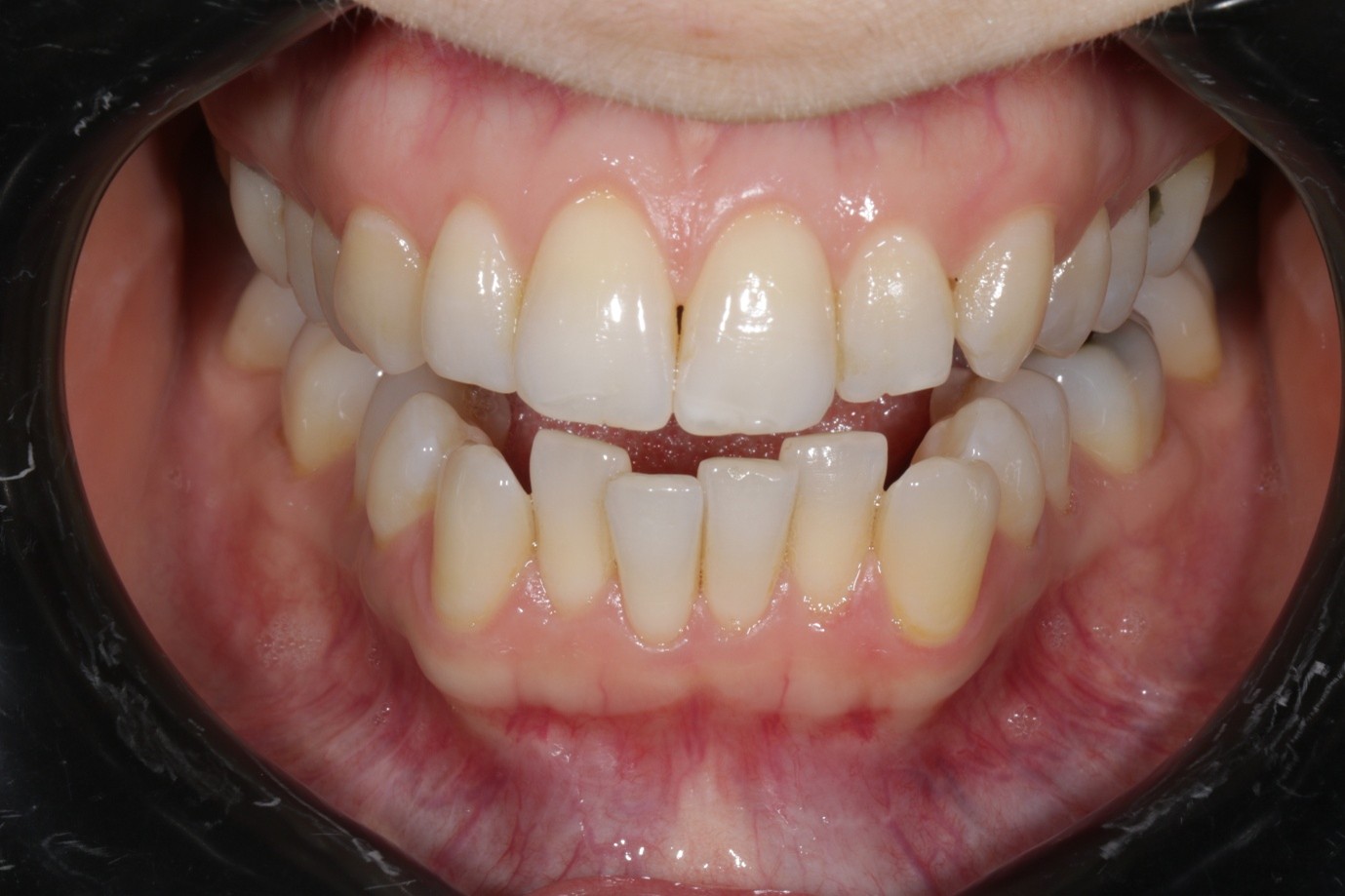
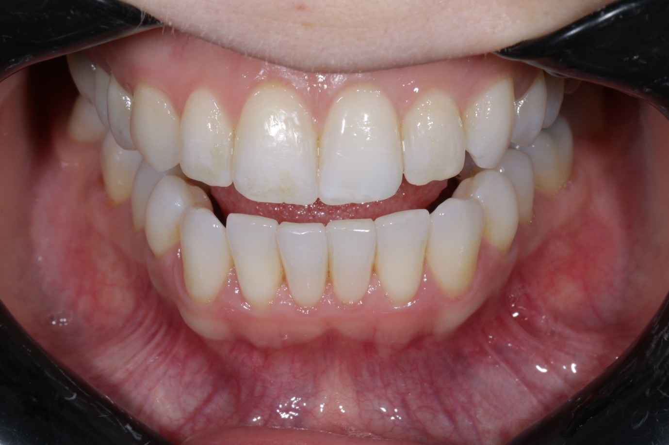
Lili
Lili came to us with the goal of straightening her severely crowded lower teeth.
Treatment: Aligners were provided to straighten the top and bottom teeth.
Treatment time: 9 months




Mo
Mo came to us with the goal of closing the gap between his top front teeth.
Treatment: Aligners were provided to close the gap and straighten the top and bottom teeth.
Treatment time: 7 months




Shannon
Shannon came to us with the goal of straightening her lower teeth.
Treatment: Aligners were provided to straighten the top and bottom teeth.
Treatment time: 7 months


Benefit from the guidance of seasoned orthodontists who are recognised leaders in their field, ensuring that your smile receives the best care and expertise.
We don't believe in one-size-fits-all treatments. Your journey is unique, and we tailor our treatments to your specific needs, ensuring that your desired smile becomes a reality.
Your well-being and satisfaction are our top priorities. We've created a welcoming environment designed to relax you and make you feel at ease. We also offer flexible appointments to accommodate your schedule.
We stay at the forefront of orthodontic innovations, utilising the latest technology to provide you with the most precise and efficient results. Your smile deserves nothing less.
At Luton Advanced Dental Care, we stand as a beacon of orthodontic excellence. Our commitment to transforming smiles has made us the preferred choice for those seeking radiant, confident grins. Here, our seasoned orthodontists are more than just professionals; they are leaders in their field, ensuring that your orthodontic journey is in the most capable hands.
Every orthodontic treatment we offer is a testament to our dedication to providing personalised care. We understand that each smile is unique, and we take pride in tailoring our treatments to your specific needs. Our priority is your comfort and satisfaction. We’ve meticulously created an environment that fosters relaxation, ensuring that your orthodontic experience is as comfortable as it is effective.
Moreover, we are committed to harnessing cutting-edge dental innovations, ensuring that your results are nothing short of spectacular.
We offer various financing options to make achieving your dream smile even more accessible. With our competitive rates and flexible payment plans, your orthodontic treatment can fit comfortably within your budget.
We provide various orthodontic treatments, including traditional braces, Invisalign, and more. Our experts will help you choose the best option.
Treatment duration depends on your case’s complexity. It typically ranges from 12 to 24 months. Specific timelines will be discussed during your initial consultation
No, we offer cosmetic dental care for all ages, from children to adults.
Costs vary based on treatment type and case complexity. We’ll provide a detailed financial breakdown during your consultation.
No referral is necessary; you can contact us directly to begin the process.
We’ll provide post-treatment instructions, including retainer wear, to maintain your new smile. Follow-up appointments ensure lasting results and address any concerns.